難波の歯医者「クレモト歯科なんば診療所」|インプラント

歯のお役立ちコンテンツ

インプラント

こんにちは!

受付の小森です(*^_^*)

クレモト歯科で働き始めてから1年ちょっと経ちました!

まだまだ勉強することはたくさんありますが、、

実は働き始める前に、虫歯で右上の奥歯が割れてしまって抜歯をしていました(>_<)

院長の治療をみていく中で改めて自分の歯を残すことの大切さを知り、今後の健康のためにも私はインプラントをすることになりました!!

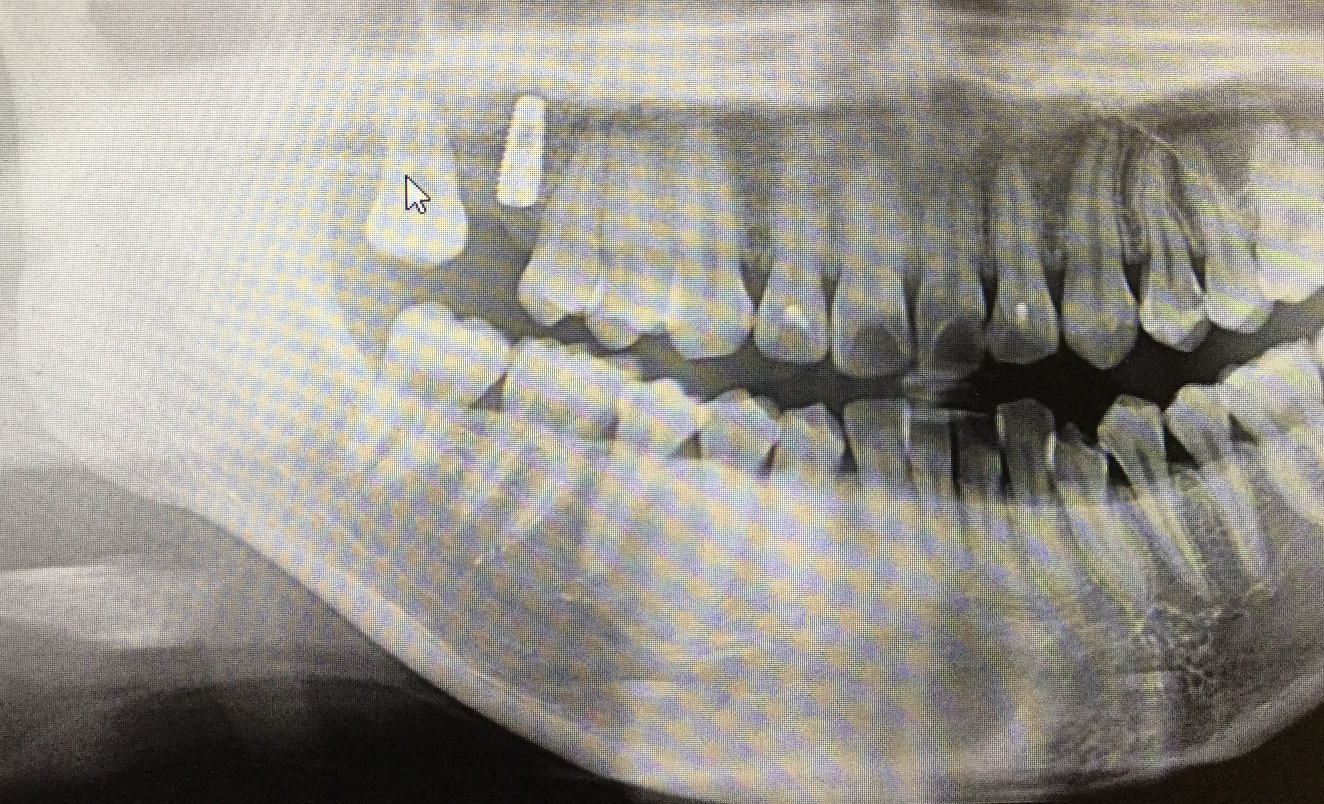
写真は一次オペが終わった後のレントゲンです♪

しっかりチタンのボルトが埋め込まれています(゜o゜)☆

痛みもなく経過も良好で2か月後に二次オペを行う予定です(^^)

 

みなさんも抜歯やインプラントについて気になることがあればお気軽にご予約してください!お待ちしております(*´▽`*)

 

難波の歯医者
クレモト歯科なんば診療所

〒556-0016
大阪府大阪市浪速区元町2-3-19 TCAビル5F

TEL:06-6644-0018

平日:9:30〜19:00

土曜:9:00〜18:00

休診日:日曜・祝日

難波の歯医者「クレモト歯科なんば診療所」
24時間 WEB予約 TEL 急患の場合はお電話ください。 06-6644-0018